Example Cases
Case1 - completed with HFO composite
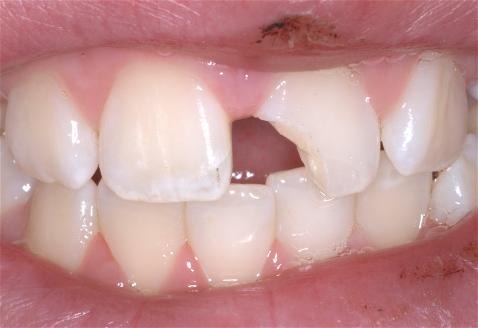
Initial presentation

Initial restoration - this is a "bandage" for the tooth which was constructed to protect the nerve inside the tooth.

Final Restoration

Case 2 - Smile makeover
Initial presentation - This patient was unhappy with the appearance of her old crowns she felt self concious about smiling.

Final Smile - a combination of veneers, crowns and bridges gave this patient her smile back, she is confident and happy with her final result.