For a brighter new smile
Your smile is the first thing others notice about you. It says more than any other feature.
Tooth whitening can be a highly effective way of lightening the natural colour of your teeth without removing any of the tooth surface.
Current systems have been used for over 20 years and are completely safe.
Why would I want my teeth whitened?
Whitening is the simplest and kindest way of enhancing your smile. Many people feel younger and more confident after treatment. Everyone is different; and just as our hair and skin colour vary, so do our teeth. Very few people have brilliant-white teeth, and our teeth can also become more discoloured as we get older. Whitening enhances the natural beauty of your smile.
How much whiter will my teeth look?
This varies from individual to individual and also the type of whitening system used. Your dentist will be able to advise you on the likely results expected with your teeth.
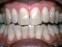
Before After

What does tooth whitening involve?
The take home whitening kits provide more permanent results over a longer time scale whereas power whitening offers immediate results. A combination of the two provides the perfect solution to both immediate and long-term whitening. Professional bleaching is the most common form of tooth whitening. Your dentist will be able to tell you if you are suitable for the treatment, and will supervise it if you are. The at home whitening involves the use of specially made custom trays which are made by the dentist, these need to be worn with the active ingredient at home, for a number of hours for a few weeks.
How long does it take?
The total treatment can usually be done within three to four weeks for the home treatment.
Ending with permanently whiter teeth.
Results
With some simple maintenance your smile can stay bright for years.
Repeat whitening does not harm the teeth. Touch up kits are available to keep your bright smile gleaming.
The effects of whitening can last up to three years. However, this will vary from person to person. The effect is less likely to last as long if you smoke, or eat and drink products that can stain your teeth. Ask your dentist for their opinion before you start the treatment.
Are there any side affects?
Some people can experience a degree of transient sensitivity during bleaching, this is temporary and will not last. There are some desensitizing treatments that can minimise any slight discomfort.
Only Dentists are permitted to use the correct whitening products. Don’t be tempted by cheaper alternatives these may not work or potentially damage your teeth.
Why do teeth get discoloured?
There are many reasons why your teeth can become discoloured, this is a natural sign of aging. These may include drinking tea, coffee, red wine or other food and drink with strong colourings. Another major cause is smoking, which can make the teeth appear yellowed. Tooth decay, fillings and tartar build-up can also contribute to discolouration. Teeth have nerves and blood vessels inside them. If these nerves and blood vessels are damaged the tooth may become darker (this can happen because of decay, or if the teeth are knocked). Some types of staining can be caused by diseases or medicines. For example, if a type of antibiotic called tetracycline is given to children whose teeth are still developing, their adult teeth may form with a yellow or greenish tinge.
It's important to bear in mind that whitening doesn't always result in the whiteness that you expect. The results vary from person to person and depend on the shade of your teeth before bleaching. For this reason, it's important to discuss all the possible options for improving the appearance of your teeth with your dentist before you decide on treatment.